- Игры Разума: Как Виртуальные Миры Перестраивают Наш Мозг и Расширяют Горизонты
- Нейропластичность в Действии: Мозг Геймера как Самообучающаяся Система
- Влияние Шутеров на Развитие Пространственного Внимания и Реакции
- Когнитивные Преимущества Стратегий в Реальном Времени (RTS)
- Развитие Навыков XXI Века Через Игровой Опыт
- Роль RPG в Развитии Социального Интеллекта и Эмпатии
- Влияние Многопользовательских Игр на Командную Работу и Коммуникацию
- Нейробиологические Основы Игрового Опыта: Что Происходит в Нашем Мозге?
- Исследование Активности Мозга Геймеров (ЭЭГ, фМРТ)
- Нейронные Корреляты Игрового Вознаграждения и Риски Зависимости
- Игры как Инструмент Развития и Обучения
- Развитие Исполнительных Функций через Головоломки и Симуляторы
- Роль Геймификации в Образовательном Процессе и Тренировке Внимания
- Таблица: Влияние Жанров Игр на Развитие Когнитивных Навыков
- Обратная Сторона Медали: Риски и Вызовы Чрезмерного Гейминга
- Риски Развития Зависимости от Видеоигр и Влияние на Циклы Сна
- Когнитивная Нагрузка, Утомляемость Мозга и Проблемы Переключения Внимания
- Список: Рекомендации для Ответственного Гейминга
- Будущее Игр и Нейротехнологий: Новые Горизонты
- Влияние Виртуальной Реальности (VR) на Восприятие и Терапию
- Методы Нейрофидбэка в Сочетании с Геймингом для Когнитивных Тренировок
Игры Разума: Как Виртуальные Миры Перестраивают Наш Мозг и Расширяют Горизонты
Приветствуем вас, дорогие читатели, в нашем блоге, где мы с удовольствием делимся личным опытом и глубокими размышлениями о самых захватывающих аспектах нашей жизни. Сегодня мы погрузимся в тему, которая для многих из нас является неотъемлемой частью досуга, а для некоторых – даже профессией. Речь, конечно же, о видеоиграх. Долгое время они воспринимались как простое развлечение, иногда даже как нечто вредное и отвлекающее. Однако, чем больше мы изучаем этот феномен, тем яснее становится: видеоигры – это не просто пиксели на экране, это мощнейший катализатор для изменений в нашем мозге, способный перестраивать его на фундаментальном уровне. Мы говорим о нейропластичности – удивительной способности нашего мозга адаптироваться, учиться и меняться в ответ на новый опыт.
В этой статье мы хотим вместе с вами исследовать, как именно виртуальные приключения влияют на наши когнитивные функции, эмоциональный интеллект и даже на структуру самого мозга. Мы рассмотрим, какие жанры игр способствуют развитию конкретных навыков, углубимся в нейробиологические основы этих процессов и не обойдем стороной потенциальные риски. Наш путь будет пролегать через увлекательные исследования активности мозга геймеров, анализ влияния игровых сообществ и размышления о будущем геймификации в образовании. Приготовьтесь к тому, что ваше представление о видеоиграх может измениться навсегда, ведь мы покажем вам, что за каждым пройденным уровнем и каждым выигранным сражением скрывается нечто гораздо большее, чем просто победа – скрывается эволюция нашего разума.
Нейропластичность в Действии: Мозг Геймера как Самообучающаяся Система
Понятие нейропластичности стало одним из ключевых открытий в современной нейробиологии. Оно означает, что наш мозг не является застывшей структурой, а постоянно меняется, создавая новые нейронные связи и укрепляя существующие в ответ на наш опыт. Когда мы учимся новому языку, осваиваем музыкальный инструмент или решаем сложную задачу, наш мозг активно перестраивается. И, как мы обнаружили, видеоигры запускают этот процесс с невероятной интенсивностью, предлагая мозгу постоянные вызовы и стимулы.
Представьте себе, что каждая игровая сессия – это своего рода тренировка для мозга, где мы постоянно адаптируемся к меняющимся условиям, учимся новым правилам и стратегиям. Это не просто метафора; исследования активности мозга геймеров с помощью ЭЭГ и фМРТ показывают реальные изменения в объеме серого вещества, плотности нейронных связей и эффективности работы различных зон мозга. Например, мы видим усиление активности в префронтальной коре, отвечающей за планирование и принятие решений, а также в гиппокампе, играющем ключевую роль в формировании памяти и пространственной ориентации. Эти изменения не ограничиваются только игровым процессом, они переносятся и в реальную жизнь, улучшая наши способности к обучению и адаптации в самых разных сферах.
Влияние Шутеров на Развитие Пространственного Внимания и Реакции
Когда мы говорим о шутерах от первого лица (FPS), многие сразу представляют себе динамичные перестрелки и стремительные движения. Но мало кто задумывается, что за этой внешней хаотичностью скрывается сложная когнитивная тренировка. Мы, как игроки, постоянно сканируем игровое пространство, выискиваем угрозы, отслеживаем перемещения противников и союзников, одновременно управляя своим персонажем и принимая мгновенные решения. Это требует исключительного пространственного внимания и способности быстро переключать фокус между множеством объектов.
Научные исследования подтверждают, что регулярная игра в шутеры значительно улучшает эти навыки. Мы видим, как у геймеров развивается зрительно-моторная координация, то есть способность быстро и точно согласовывать движения глаз с движениями рук. Кроме того, повышается скорость принятия решений – в критических ситуациях у нас есть буквально доли секунды, чтобы оценить обстановку, выбрать тактику и действовать. Шутеры тренируют нашу способность к быстрому реагированию, что может быть полезно не только в играх, но и в повседневной жизни, например, при вождении автомобиля или занятиях спортом. Мы учимся обрабатывать огромные объемы визуальной информации и фильтровать ее, выделяя самое важное, что является бесценным навыком в современном мире, перегруженном информацией.
Когнитивные Преимущества Стратегий в Реальном Времени (RTS)
Стратегии в реальном времени (RTS) – это совершенно иной тип когнитивной нагрузки. Здесь мы не просто реагируем на происходящее, а активно планируем, управляем ресурсами, строим базы и армии, предвидим действия противника и адаптируемся к меняющейся ситуации на глобальной карте. Это как шахматы, только в тысячу раз сложнее и динамичнее. Мы должны постоянно держать в уме множество переменных: экономику, логистику, тактические преимущества, сильные и слабые стороны юнитов.
Игры RTS являются великолепным тренажером для развития навыков решения проблем (Problem Solving) и стратегического планирования. Мы учимся видеть "большую картину", выделять приоритеты, распределять внимание между различными задачами и управлять сложными системами. В процессе игры мы постоянно сталкиваемся с неожиданными вызовами, требующими нестандартных решений, что способствует развитию гибкости мышления. Кроме того, эти игры тренируют нашу рабочую память, поскольку нам необходимо помнить о текущих задачах, доступных ресурсах и планах противника. Опыт показывает, что игроки в RTS часто демонстрируют улучшенные навыки многозадачности и способность к длительной концентрации, что является огромным преимуществом в любой сложной интеллектуальной деятельности.
Развитие Навыков XXI Века Через Игровой Опыт
Современный мир требует от нас не только академических знаний, но и целый спектр "мягких" навыков: умение работать в команде, общаться, решать конфликты, проявлять креативность. И здесь видеоигры снова выходят на передний план, предлагая уникальные платформы для развития этих качеств. Мы часто видим, как игровые сообщества становятся своего рода лабораториями для отработки социальных взаимодействий, а сложные игровые механики стимулируют наше воображение и изобретательность.
Мы убеждены, что потенциал игр в формировании этих навыков недооценен. Ведь где еще мы можем безопасно экспериментировать с различными моделями поведения, принимать рискованные решения и наблюдать их последствия в контролируемой среде? Игровые миры дают нам возможность примерить на себя разные роли, взаимодействовать с разнообразными личностями и учиться на своих ошибках без серьезных последствий для реальной жизни. Это делает их бесценным инструментом для личностного роста и подготовки к вызовам современного общества.
Роль RPG в Развитии Социального Интеллекта и Эмпатии
Ролевые игры (RPG), особенно те, что имеют глубокий сюжет и проработанных персонажей, являются мощным инструментом для развития социального интеллекта. В этих играх мы часто погружаемся в сложные повествования, где приходится принимать моральные решения, взаимодействовать с неигровыми персонажами (NPC) с различными характерами и мотивами, и понимать последствия своих действий для виртуального мира. Мы учимся читать контекст, интерпретировать диалоги и предсказывать реакции других персонажей, что очень похоже на реальные социальные взаимодействия.
Кроме того, RPG способствуют развитию эмпатии. Когда мы играем за персонажа, мы буквально "вживаемся" в его шкуру, переживаем его радости и горести, сталкиваемся с его дилеммами. Это позволяет нам лучше понимать чужие точки зрения, развивать сострадание и учиться видеть мир глазами других. Мы часто сталкиваемся с ситуациями, где нет однозначно "правильного" или "неправильного" выбора, и это тренирует нашу способность к принятию моральных решений и пониманию их нюансов. В многопользовательских RPG, где мы взаимодействуем с реальными игроками, эти аспекты усиливаются, поскольку добавляется необходимость договариваться, сотрудничать и разрешать конфликты в группе.
Влияние Многопользовательских Игр на Командную Работу и Коммуникацию
Многопользовательские игры, особенно командные, такие как MOBA (Multiplayer Online Battle Arena) или кооперативные шутеры, являются идеальной средой для отработки навыков командной работы и эффективной коммуникации. Здесь успех зависит не от одного игрока, а от слаженного взаимодействия всей команды. Мы учимся координировать свои действия, распределять роли, оперативно обмениваться информацией и поддерживать друг друга.
В таких играх, как Dota 2 или League of Legends, мы видим, как игроки развивают стратегическое планирование в условиях постоянного давления, а также навыки принятия коллективных решений. Необходимо быстро анализировать ситуацию, предлагать решения и убеждать команду в их целесообразности. Это требует не только тактического мышления, но и умения вести переговоры, проявлять лидерские качества и быть гибким. Игровые чаты, особенно с иностранными игроками, также способствуют развитию языковых навыков и расширению словарного запаса, что является приятным бонусом к основному игровому опыту. Мы видим, как геймеры становятся более адаптированными к работе в динамичных и требовательных командах, что является ценным качеством в любой профессиональной сфере.
"Мозг не заканчивает развиваться в 20 лет, а продолжает меняться на протяжении всей жизни. Игры, в своем лучшем проявлении, могут быть мощным инструментом для стимулирования этих изменений."
— Норман Дойдж, канадский психиатр и психоаналитик, автор книги "Пластичность мозга".
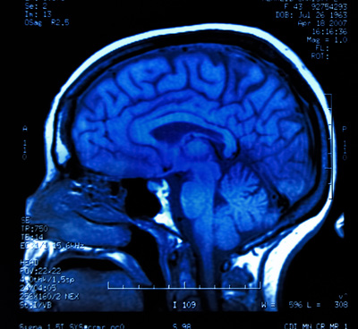
Нейробиологические Основы Игрового Опыта: Что Происходит в Нашем Мозге?
Чтобы по-настоящему понять, как видеоигры влияют на нас, мы должны заглянуть внутрь – в наш мозг. Современные нейробиологические методы позволяют нам наблюдать за активностью мозга в реальном времени, выявлять изменения в его структуре и даже измерять уровень нейрохимических веществ, которые играют ключевую роль в процессах обучения, мотивации и формирования привычек. И то, что мы видим, поистине удивительно.
Исследования с использованием функциональной магнитно-резонансной томографии (фМРТ) и электроэнцефалографии (ЭЭГ) показывают, что мозг геймеров демонстрирует уникальные паттерны активности. Мы наблюдаем активацию обширных нейронных сетей, отвечающих за внимание, память, принятие решений и эмоциональную регуляцию. Эти данные помогают нам не только подтвердить когнитивные преимущества игр, но и лучше понять механизмы, лежащие в основе как пользы, так и потенциальных рисков, связанных с геймингом.
Исследование Активности Мозга Геймеров (ЭЭГ, фМРТ)
Когда мы играем, наш мозг работает на полную мощность. ЭЭГ, измеряющая электрическую активность мозга, показывает изменения в мозговых волнах, указывающие на повышенную концентрацию и вовлеченность. ФМРТ, в свою очередь, позволяет нам увидеть, какие области мозга потребляют больше кислорода, то есть активно работают. И мы видим, что у геймеров активируются такие зоны, как дорсолатеральная префронтальная кора (связанная с рабочей памятью и исполнительными функциями), теменная кора (пространственное внимание) и даже зрительная кора, которая, как мы знаем, становится более эффективной в обработке визуальной информации.
Долгосрочные исследования показывают, что длительный гейминг может влиять на структуру мозга, увеличивая объем серого вещества в областях, связанных с навигацией, стратегическим планированием и формированием памяти. Например, у игроков в стратегические игры часто наблюдается увеличение объема в гиппокампе и префронтальной коре. Эти структурные изменения являются прямым доказательством нейропластичности в действии – наш мозг буквально перестраивается, чтобы лучше справляться с задачами, которые мы ему регулярно предлагаем.
Нейронные Корреляты Игрового Вознаграждения и Риски Зависимости
Система вознаграждения в нашем мозге играет центральную роль в обучении и мотивации. Когда мы достигаем цели в игре, получаем "лут" или выигрываем матч, в мозге происходит выброс дофамина – нейромедиатора, связанного с удовольствием и мотивацией. Этот процесс является естественным и необходимым для формирования полезных привычек.
Однако, как и с любым сильным стимулом, здесь кроются и риски. Исследование нейронных коррелятов игрового вознаграждения помогает нам понять, почему некоторые игроки могут развивать зависимость от видеоигр (Gaming Disorder). Чрезмерная стимуляция дофаминовой системы, особенно в играх с элементами лотереи (как, например, в случае с лутбоксами), может привести к изменениям в мозге, когда нормальные источники удовольствия перестают быть достаточно стимулирующими. Мы видим, как мозг адаптируется к постоянному притоку дофамина, требуя все больших и больших доз, что может привести к потере контроля над временем, проведенным в игре, и негативно сказаться на других сферах жизни. Понимание этих нейробиологических основ крайне важно для разработки методов профилактики и лечения игровой зависимости.
Игры как Инструмент Развития и Обучения
По мере того как мы все глубже понимаем сложную взаимосвязь между играми и нашим мозгом, становится очевидным, что видеоигры могут быть не только источником развлечения, но и мощным инструментом для развития и обучения. Мы уже видим, как принципы геймификации проникают в образовательный процесс, а специальные "когнитивные тренировки" через игры используются для улучшения конкретных навыков у людей всех возрастов.
Мы верим, что будущее образования тесно связано с интеграцией игровых элементов. Ведь игры по своей сути являются идеальной обучающей средой: они мотивируют, предоставляют немедленную обратную связь, позволяют экспериментировать и учиться на ошибках в безопасной среде. От развития математических способностей до тренировки проактивного поведения – спектр применения игр в образовании поистине огромен.
Развитие Исполнительных Функций через Головоломки и Симуляторы
Исполнительные функции – это набор высших когнитивных навыков, которые позволяют нам планировать, организовывать, контролировать свои действия и гибко адаптироваться к новым ситуациям. К ним относятся рабочая память, когнитивная гибкость и ингибиторный контроль (самоконтроль). Игры-головоломки и симуляторы являются превосходными тренажерами для этих функций.
Когда мы разгадываем сложные головоломки, такие как в Portal или The Witness, мы активно задействуем нашу рабочую память для удержания информации, когнитивную гибкость для переключения между разными стратегиями решения и самоконтроль для подавления импульсивных реакций. Симуляторы, будь то градостроительные (Cities: Skylines) или экономические (Factorio), требуют от нас планирования ресурсов, долгосрочного прогнозирования и постоянной адаптации к меняющимся условиям. Они тренируют нашу способность к абстрактному моделированию и управлению сложными системами, развивая навыки, которые напрямую применимы в реальной жизни, от управления проектами до личного бюджета.
Роль Геймификации в Образовательном Процессе и Тренировке Внимания
Геймификация – это применение игровых элементов и принципов в неигровых контекстах, таких как образование. Мы видим, как школы и университеты все чаще используют баллы, уровни, достижения и таблицы лидеров для повышения мотивации студентов. Это не просто "игра ради игры", а использование присущей человеку тяги к соревнованию и достижению целей для улучшения учебных результатов.
Игры также являются мощным инструментом для тренировки внимания. Например, игры, требующие быстрого сканирования информации и внимания к деталям, улучшают селективное внимание – способность сосредотачиваться на одном стимуле, игнорируя отвлекающие. Игры с высоким уровнем стимуляции, такие как ритм-игры или динамичные аркады, тренируют нашу способность к удержанию внимания и быстрому переключению внимания между задачами. Мы даже видим, как игры используются в качестве инструмента для диагностики и тренировки внимания у детей с СДВГ, помогая им развивать самоконтроль и импульсивность. Геймификация делает обучение более увлекательным и эффективным, превращая рутинные задачи в захватывающие вызовы.
Таблица: Влияние Жанров Игр на Развитие Когнитивных Навыков
| Жанр Игры | Основные Развиваемые Навыки | Примеры Игр |
|---|---|---|
| Шутеры от первого лица (FPS) | Пространственное внимание, зрительно-моторная координация, скорость реакции, принятие быстрых решений, селективное внимание. | Call of Duty, Overwatch, Counter-Strike. |
| Стратегии в реальном времени (RTS) | Стратегическое планирование, многозадачность, управление ресурсами, решение проблем, гибкость мышления, долгосрочное планирование. | StarCraft, Age of Empires, Civilization. |
| Ролевые игры (RPG) | Социальный интеллект, эмпатия, принятие моральных решений, развитие языковых навыков, формирование идентичности, креативность. | The Witcher, Mass Effect, Fallout. |
| Головоломки / Логические игры | Исполнительные функции, рабочая память, логическое мышление, критическое мышление, концентрация, абстрактное мышление. | Portal, Tetris, Sudoku, The Witness. |
| Симуляторы (Simulators) | Управление сложными системами, планирование, прогнозирование, стрессоустойчивость, принятие риска, когнитивная гибкость. | Kerbal Space Program, Microsoft Flight Simulator, Cities: Skylines. |
| Песочницы (Sandbox Games) | Креативность, воображение, инженерное мышление, решение проблем, саморегуляция, проактивное поведение. | Minecraft, Garry’s Mod, Terraria. |
Обратная Сторона Медали: Риски и Вызовы Чрезмерного Гейминга
Мы, как опытные блогеры, всегда стремимся представить полную картину, а это значит, что мы не можем обойти стороной потенциальные негативные аспекты, связанные с видеоиграми. Как и любой мощный инструмент, игры могут быть использованы не по назначению или стать источником проблем при чрезмерном или бесконтрольном использовании. Важно осознавать эти риски, чтобы максимизировать пользу и минимизировать вред.
Общество часто фокусируется на крайностях – либо полное порицание игр, либо их безоговорочное восхваление. Мы же придерживаемся сбалансированного подхода, признавая, что ключ к здоровому взаимодействию с виртуальными мирами лежит в осознанности и умеренности. Изучение этих рисков помогает нам разрабатывать стратегии для ответственного гейминга и обеспечивать благополучие как отдельных игроков, так и игровых сообществ в целом.
Риски Развития Зависимости от Видеоигр и Влияние на Циклы Сна
Как мы уже упоминали, система вознаграждения мозга может быть чрезмерно стимулирована играми, что в некоторых случаях приводит к развитию зависимости от видеоигр (Gaming Disorder). Это состояние характеризуется потерей контроля над игровым поведением, приоритетом игр над другими жизненными интересами и продолжением игры, несмотря на негативные последствия. Мы видели, как это может разрушать отношения, вредить учебе или работе и приводить к серьезным проблемам со здоровьем. Нейробиологические маркеры игровой зависимости активно исследуются, чтобы лучше понять, почему некоторые люди более подвержены этому риску, чем другие.
Кроме того, длительный гейминг, особенно в вечернее и ночное время, может серьезно нарушать циклы сна и бодрствования. Синий свет от экранов подавляет выработку мелатонина – гормона сна, что затрудняет засыпание. Адреналин и дофамин, вырабатываемые во время интенсивных игровых сессий, также могут поддерживать мозг в состоянии бодрствования. Недостаток сна, в свою очередь, негативно сказывается на когнитивных функциях, таких как внимание, память и способность к обучению, а также на эмоциональной регуляции и общем физическом состоянии. Мы призываем всех игроков быть внимательными к своему режиму дня и обеспечивать себе достаточный и качественный сон;
Когнитивная Нагрузка, Утомляемость Мозга и Проблемы Переключения Внимания
Хотя игры и тренируют наш мозг, они также создают значительную когнитивную нагрузку. Постоянная необходимость обрабатывать информацию, принимать решения и реагировать может привести к утомляемости мозга геймера. Мы часто замечаем, что после длительных игровых сессий возникает чувство ментальной усталости, снижение концентрации и даже головные боли. Это сигнал того, что мозгу нужен отдых и восстановление.
Еще одна проблема, с которой мы сталкиваемся, – это проблемы переключения внимания между игрой и учебой или другими задачами. Игры, особенно те, что требуют глубокого погружения, могут создавать своего рода "когнитивную инерцию", когда мозгу трудно перестроиться с динамичной и интерактивной игровой среды на более пассивные и требовательные к концентрации учебные или рабочие задачи. Это может влиять на успеваемость в школе и продуктивность на работе. Важно развивать навыки саморегуляции и умение управлять своим вниманием, чтобы эффективно переключаться между различными видами деятельности и предотвращать негативные последствия.
Список: Рекомендации для Ответственного Гейминга
- Установите временные рамки: Определите четкое время для игры и придерживайтесь его. Используйте таймеры и напоминания.
- Делайте регулярные перерывы: Каждые 45-60 минут вставайте, подвигайтесь, дайте глазам и мозгу отдохнуть.
- Сохраняйте баланс: Убедитесь, что у вас есть другие хобби, социальные активности и физическая нагрузка помимо игр.
- Ограничьте игру перед сном: Старайтесь не играть за 1-2 часа до сна, чтобы не нарушать циклы сна.
- Будьте внимательны к контенту: Выбирайте игры, которые соответствуют вашим ценностям и возрасту, избегайте чрезмерно жестокого или стрессового контента, если он вызывает дискомфорт.
- Общайтесь с близкими: Делитесь своим игровым опытом с семьей и друзьями, обсуждайте, что вам нравится и какие вызовы возникают.
- Следите за физиологией: Обеспечьте правильную осанку, хорошее освещение и избегайте длительного сидения без движения.
Будущее Игр и Нейротехнологий: Новые Горизонты
Мы стоим на пороге новой эры, где границы между виртуальным и реальным мирами становятся все более размытыми. Развитие технологий, таких как виртуальная реальность (VR) и дополненная реальность (AR), а также прогресс в нейрофидбэке, открывают перед нами невиданные ранее возможности для использования игр не только в развлекательных, но и в терапевтических и образовательных целях. Мы видим, как игры становятся все более персонализированными и адаптивными, способными подстраиваться под индивидуальные потребности и цели каждого пользователя.
Это захватывающее время для исследования влияния игр на наш мозг. Мы только начинаем понимать весь спектр их воздействия. От использования игр для преодоления фобий через VR до тренировки самых сложных когнитивных функций – потенциал огромен. Мы убеждены, что дальнейшие исследования и ответственное развитие технологий позволят нам раскрыть этот потенциал в полной мере, создавая игры, которые не просто развлекают, но и делают нас умнее, сильнее и адаптивнее.
Влияние Виртуальной Реальности (VR) на Восприятие и Терапию
Виртуальная реальность (VR) поднимает игровой опыт на совершенно новый уровень погружения. Когда мы надеваем VR-шлем, наш мозг воспринимает виртуальный мир как реальный, активируя те же нейронные сети, которые задействуются в физическом пространстве. Это открывает уникальные возможности для влияния VR на восприятие, пространственную ориентацию и даже моторный контроль.
В терапевтическом контексте VR уже используется как мощный инструмент для преодоления фобий. Например, люди с боязнью высоты могут постепенно привыкать к виртуальным высотам в безопасной среде, постепенно снижая уровень тревожности. VR также применяется для реабилитации после травм, помогая восстанавливать моторные функции и координацию. Мы видим, как виртуальные среды могут быть адаптированы для тренировки внимания к деталям, улучшения навыков навигации в больших пространствах и даже для развития эмпатии через погружение в опыт других людей.
Методы Нейрофидбэка в Сочетании с Геймингом для Когнитивных Тренировок
Нейрофидбэк – это метод, который позволяет нам "напрямую" тренировать активность мозга, получая обратную связь о его работе в реальном времени. В сочетании с геймингом этот подход становится еще более мощным. Представьте игру, где вы управляете персонажем не джойстиком, а силой мысли или уровнем концентрации, измеряемым ЭЭГ. Это уже не фантастика, а активно развивающаяся область.
Мы видим, как методы нейрофидбэка в сочетании с геймингом используются для целенаправленных когнитивных тренировок. Например, игры, основанные на нейрофидбэке, могут помочь улучшить способность к длительной концентрации у людей с СДВГ или тренировать рабочую память. Это позволяет нам не только играть, но и осознанно учиться управлять своим мозгом, повышая его эффективность. Это направление открывает огромные перспективы для персонализированного обучения, реабилитации и даже улучшения когнитивных способностей у здоровых людей, позволяя нам осваивать новые горизонты человеческого потенциала.
Итак, мы прошли долгий путь, исследуя многогранное влияние видеоигр на наш мозг и развитие. От улучшения пространственного внимания в шутерах до формирования социального интеллекта в RPG, от нейропластических изменений в структуре мозга до рисков зависимости – мы увидели, что игры являются гораздо более сложным и мощным феноменом, чем кажется на первый взгляд. Мы убедились, что в умелых руках и при осознанном подходе игры могут стать не просто развлечением, а эффективным инструментом для личного роста, обучения и даже терапии.
Важно помнить, что баланс – это ключ. Как и в любой другой сфере жизни, чрезмерность может привести к негативным последствиям, в то время как умеренное и целенаправленное использование открывает двери к новым возможностям. Мы, как блогеры, продолжим следить за развитием этой увлекательной области, делиться новейшими исследованиями и личным опытом, чтобы помочь вам извлекать максимальную пользу из виртуальных миров, сохраняя при этом гармонию в реальной жизни. Пусть игры станут для нас не только способом отдохнуть, но и мощным катализатором для развития нашего разума, нашей креативности и нашей способности к адаптации в постоянно меняющемся мире. До новых встреч на страницах нашего блога!
Подробнее
| Нейропластичность мозга | Когнитивные преимущества игр | Игры и развитие внимания | Влияние игр на мозг | Геймификация в образовании |
| Развитие навыков решения проблем | Игровая зависимость | Тренировка рабочей памяти | VR и нейропластичность | Социальный интеллект и RPG |








